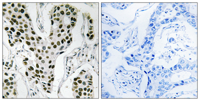
ZC3H4 rabbit pAb
  • ZC3H4 rabbit pAb
ELK

ZC3H4 rabbit pAb

Ref: ELK-ES5319-50ul
50ul

Información del producto

Información adicional
Storage Conditions -20°C/1 year
Applications ELISA
IF
IHC
Concentration 1 mg/ml
Recomended Dilution Immunohistochemistry: 1/100 - 1/300. ELISA: 1/10000. Not yet tested in other applications.
Type Clonality Polyclonal
Immunogen The antiserum was produced against synthesized peptide derived from human ZC3H4. AA range:771-820
Subcellular Location Chromosome . Recruited at sites of high RNA polymerase II occupancy. .
Iso type IgG
Tissue Source Rabbit
Reactivity Human
Mouse
Human Gen 23211
Other Name C19orf7
KIAA1064
ZC3H4
Zinc finger CCCH domain-containing protein 4
Background This gene encodes a member of a family of CCCH (C-x8-C-x5-C-x3-H type) zinc finger domain-containing proteins. These zinc finger domains, which coordinate zinc finger binding and are characterized by three cysteine residues and one histidine residue, are