FoxO1/3/4 (phospho Thr24/32) rabbit pAb
  • FoxO1/3/4 (phospho Thr24/32) rabbit pAb
ELK

FoxO1/3/4 (phospho Thr24/32) rabbit pAb

Ref: ELK-ES5305-50ul
50ul

Información del producto

Información adicional
Storage Conditions -20°C/1 year
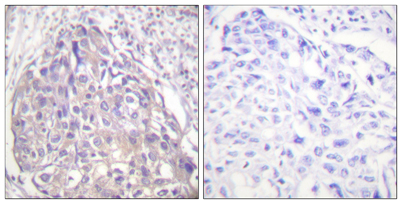
Applications ELISA
IF
IHC
WB
Concentration 1 mg/ml
Recomended Dilution Western Blot: 1/500 - 1/2000. Immunohistochemistry: 1/100 - 1/300. ELISA: 1/5000. Not yet tested in other applications.
Type Clonality Polyclonal
Immunogen The antiserum was produced against synthesized peptide derived from human FOXO1/3/4-pan around the phosphorylation site of Thr24/32. AA range:15-64
Subcellular Location Cytoplasm . Nucleus . Shuttles between the cytoplasm and nucleus. Largely nuclear in unstimulated cells (PubMed:11311120, PubMed:12228231, PubMed:19221179, PubMed:21245099, PubMed:20543840, PubMed:25009184). In osteoblasts, colocalizes with ATF4 and RUNX2
Iso type IgG
Tissue Source Rabbit
Reactivity Human
Mouse
Rat
Human Gen 2308/4303
Observed Band 78kD
Other Name AF6q21 protein
AFX
AFX1
FKHR
FKHRL1
FOXO1
FOXO1A
FOXO3
FOXO3A
FOXO4
Forkhead box
Forkhead box protein O1
Forkhead box protein O1A
Forkhead box protein O3
Forkhead in rhabdomyosarcoma
Forkhead in rhabdomyosarcoma-like 1
MLLT7
Background This gene belongs to the forkhead family of transcription factors which are characterized by a distinct forkhead domain. The specific function of this gene has not yet been determined
however, it may play a role in myogenic growth and differentiation. Translocation of this gene with PAX3 has been associated with alveolar rhabdomyosarcoma. [provided by RefSeq, Jul 2008],