FoxD4 rabbit pAb
  • FoxD4 rabbit pAb
ELK

FoxD4 rabbit pAb

Ref: ELK-ES5281-50ul
50ul

Información del producto

Información adicional
Storage Conditions -20°C/1 year
Applications ELISA
WB
Concentration 1 mg/ml
Recomended Dilution Western Blot: 1/500 - 1/2000. ELISA: 1/10000. Not yet tested in other applications.
Type Clonality Polyclonal
Immunogen Synthesized peptide derived from the Internal region of human FoxD4.
Subcellular Location Nucleus.
Iso type IgG
Tissue Source Rabbit
Reactivity Human
Mouse
Human Gen 2298
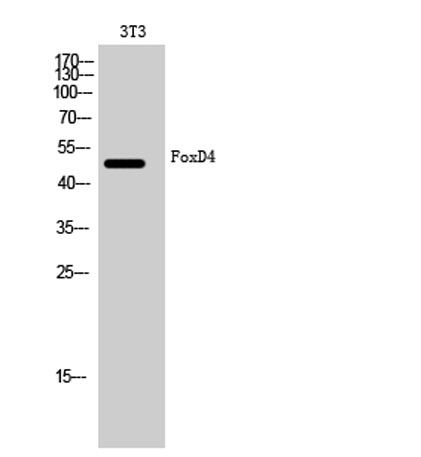
Observed Band 47kD
Other Name FKHL9
FOXD4
FOXD4A
FREAC-5
FREAC5
Forkhead-related protein FKHL9
Forkhead-related transcription factor 5
Forkhead box protein D4
Myeloid factor-alpha
Background This gene encodes a member of the forkhead/winged helix-box (FOX) family of transcription factors. FOX transcription factors play critical roles in the regulation of multiple processes including metabolism, cell proliferation and gene expression during on