FoxJ3 rabbit pAb
  • FoxJ3 rabbit pAb
ELK

FoxJ3 rabbit pAb

Ref: ELK-ES5268-50ul
50ul

Información del producto

Información adicional
Storage Conditions -20°C/1 year
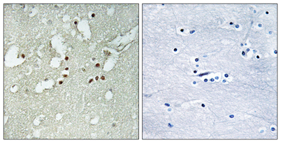
Applications ELISA
IF
IHC
Concentration 1 mg/ml
Recomended Dilution Immunohistochemistry: 1/100 - 1/300. ELISA: 1/20000. Not yet tested in other applications.
Type Clonality Polyclonal
Immunogen The antiserum was produced against synthesized peptide derived from human FOXJ3. AA range:191-240
Subcellular Location Nucleus .
Iso type IgG
Tissue Source Rabbit
Reactivity Human
Mouse
Human Gen 22887
Other Name FOXJ3
Forkhead box protein J3
KIAA1041
Background similarity:Contains 1 fork-head DNA-binding domain.,