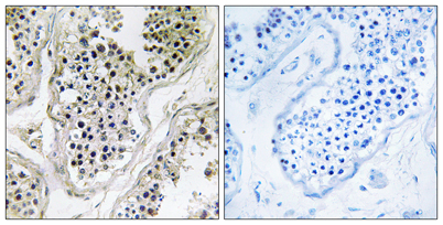
Ataxin-7L1 rabbit pAb
  • Ataxin-7L1 rabbit pAb
ELK

Ataxin-7L1 rabbit pAb

Ref: ELK-ES5235-50ul
50ul

Información del producto

Información adicional
Storage Conditions -20°C/1 year
Applications ELISA
IF
IHC
Concentration 1 mg/ml
Recomended Dilution Immunohistochemistry: 1/100 - 1/300. ELISA: 1/10000. Not yet tested in other applications.
Type Clonality Polyclonal
Immunogen The antiserum was produced against synthesized peptide derived from human ATXN7L1. AA range:441-490
Iso type IgG
Tissue Source Rabbit
Reactivity Human
Mouse
Human Gen 222255
Other Name ATXN7L1
ATXN7L4
Ataxin-7-like protein 1
Ataxin-7-like protein 4
KIAA1218
Background similarity:Contains 1 SCA7 domain.,