Sgo2 rabbit pAb
  • Sgo2 rabbit pAb
ELK

Sgo2 rabbit pAb

Ref: ELK-ES4904-50ul
50ul

Información del producto

Información adicional
Storage Conditions -20°C/1 year
Applications ELISA
IF
IHC
Concentration 1 mg/ml
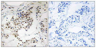
Recomended Dilution Immunohistochemistry: 1/100 - 1/300. ELISA: 1/10000. Not yet tested in other applications.
Type Clonality Polyclonal
Immunogen The antiserum was produced against synthesized peptide derived from human SGOL2. AA range:681-730
Subcellular Location Nucleus . Chromosome, centromere . Chromosome, centromere, kinetochore . During meiosis I, accumulates at centromeres during diplotene, and colocalizes differentially with the cohesin subunits RAD21 and REC8 at metaphase I centromeres (By similarity). SGO
Iso type IgG
Tissue Source Rabbit
Reactivity Human
Mouse
Rat
Human Gen 151246
Other Name SGOL2
Sgo2
Shugoshin-2
Shugoshin-like 2
Tripin
Background function:During meiosis, protects centromeric cohesion complexes until metaphase II/anaphase II transition, preventing premature release of meiosis-specific REC8 cohesin complexes from anaphase I centromeres. Is thus essential for an accurate gametogenesi