ATF-2 (phospho Thr69) rabbit pAb
  • ATF-2 (phospho Thr69) rabbit pAb
ELK

ATF-2 (phospho Thr69) rabbit pAb

Ref: ELK-ES4801-50ul
50ul

Información del producto

Información adicional
Storage Conditions -20°C/1 year
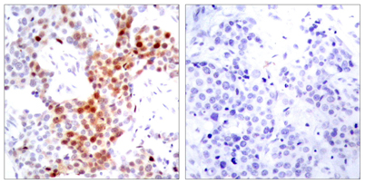
Applications ELISA
IF
IHC
IP
WB
Concentration 1 mg/ml
Recomended Dilution Western Blot: 1/500 - 1/2000. Immunohistochemistry: 1/100 - 1/300. Immunoprecipitation: 2-5 ug/mg lysate. ELISA: 1/20000. Not yet tested in other applications.
Type Clonality Polyclonal
Immunogen The antiserum was produced against synthesized peptide derived from human ATF2 around the phosphorylation site of Thr69 or 51. AA range:36-85
Subcellular Location Nucleus. Cytoplasm. Mitochondrion outer membrane. Shuttles between the cytoplasm and the nucleus and heterodimerization with JUN is essential for the nuclear localization. Localization to the cytoplasm is observed under conditions of cellular stress and i
Iso type IgG
Tissue Source Rabbit
Reactivity Human
Mouse
Rat
Human Gen 1386
Other Name ATF2
Activating transcription factor 2
CREB-2
CREB2
CREBP1
Cyclic AMP-dependent transcription factor ATF-2
Cyclic AMP-responsive element-binding protein 2
cAMP-dependent transcription factor ATF-2
cAMP-responsive element-binding pro
Background activating transcription factor 2(ATF2) Homo sapiens This gene encodes a transcription factor that is a member of the leucine zipper family of DNA binding proteins. The encoded protein has been identified as a moonlighting protein based on its ability
thus it may represent a class of sequence-specific factors that activate transcription by direct effects on chromatin components. The encoded protein may also be involved in cell's DNA damage response independent of its role in transcriptional regulation.