cPLA2-ε rabbit pAb
  • cPLA2-ε rabbit pAb
ELK

cPLA2-ε rabbit pAb

Ref: ELK-ES4712-50ul
50ul

Información del producto

Información adicional
Storage Conditions -20°C/1 year
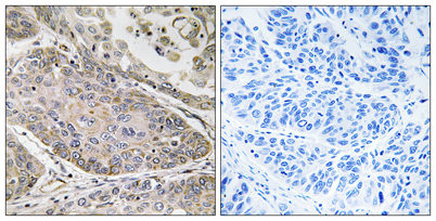
Applications ELISA
IF
IHC
Concentration 1 mg/ml
Recomended Dilution Immunohistochemistry: 1/100 - 1/300. ELISA: 1/40000. Not yet tested in other applications.
Type Clonality Polyclonal
Immunogen The antiserum was produced against synthesized peptide derived from human PLA2G4E. AA range:401-450
Subcellular Location Cytoplasm, cytosol . Early endosome membrane
Cytoplasmic side . Cell membrane
Cytoplasmic side . Lysosome membrane
Cytoplasmic side . Targeted to clathrin-independent endocytotic vesicles through binding to phosphoinositides, especially phosphatidylinositol 4,5-bisphosphates. .
Peripheral membrane protein
Peripheral membrane protein
Peripheral membrane protein
Iso type IgG
Tissue Source Rabbit
Reactivity Human
Mouse
Rat
Human Gen 123745
Other Name Cytosolic phospholipase A2 epsilon
PLA2G4E
Phospholipase A2 group IVE
cPLA2-epsilon
Background catalytic activity:Phosphatidylcholine + H(2)O = 1-acylglycerophosphocholine + a carboxylate.,domain:The N-terminal C2 domain associates with lipid membranes and mediates its regulation by presenting the active site to its substrate in response to elevati