Mad 4 rabbit pAb
  • Mad 4 rabbit pAb
ELK

Mad 4 rabbit pAb

Ref: ELK-ES4518-50ul
50ul

Información del producto

Información adicional
Storage Conditions -20°C/1 year
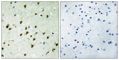
Applications ELISA
IF
IHC
Concentration 1 mg/ml
Recomended Dilution Immunohistochemistry: 1/100 - 1/300. ELISA: 1/10000. Not yet tested in other applications.
Type Clonality Polyclonal
Immunogen The antiserum was produced against synthesized peptide derived from human MAD4. AA range:10-59
Subcellular Location Nucleus .
Iso type IgG
Tissue Source Rabbit
Reactivity Human
Mouse
Human Gen 10608
Other Name BHLHC12
Class C basic helix-loop-helix protein 12
MAD4
MXD4
Max-associated protein 4
Max-interacting transcriptional repressor MAD4
Max dimerization protein 4
Max dimerizer 4
bHLHc12
Background This gene is a member of the MAD gene family . The MAD genes encode basic helix-loop-helix-leucine zipper proteins that heterodimerize with MAX protein, forming a transcriptional repression complex. The MAD proteins compete for MAX binding with MYC, which