SEMA3C rabbit pAb
  • SEMA3C rabbit pAb
ELK

SEMA3C rabbit pAb

Ref: ELK-ES4492-50ul
50ul

Información del producto

Información adicional
Storage Conditions -20°C/1 year
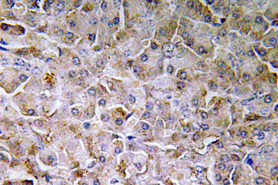
Applications ELISA
IF
IHC
WB
Concentration 1 mg/ml
Recomended Dilution Immunohistochemistry: 1/100 - 1/300. ELISA: 1/40000. Not yet tested in other applications.
Type Clonality Polyclonal
Immunogen The antiserum was produced against synthesized peptide derived from human SEMA3C. AA range:701-750
Subcellular Location Secreted.
Iso type IgG
Tissue Source Rabbit
Reactivity Human
Mouse
Rat
Human Gen 10512
Other Name SEMA3C
SEMAE
Sema E
Semaphorin-3C
Semaphorin-E
Background function:May be involved in diverse cell survival mechanisms.,similarity:Belongs to the semaphorin family.,similarity:Contains 1 Ig-like C2-type (immunoglobulin-like) domain.,similarity:Contains 1 PSI domain.,similarity:Contains 1 Sema domain.,tissue spec