ABCG2 rabbit pAb
  • ABCG2 rabbit pAb
ELK

ABCG2 rabbit pAb

Ref: ELK-ES4288-50ul
50ul

Información del producto

Información adicional
Storage Conditions -20°C/1 year
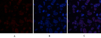
Applications ELISA
IF
IHC
WB
Concentration 1 mg/ml
Recomended Dilution IF: 1:50-200 Western Blot: 1/500 - 1/2000. IHC-p: 1:100-1:300. ELISA: 1/10000. Not yet tested in other applications.
Type Clonality Polyclonal
Immunogen The antiserum was produced against synthesized peptide derived from the Internal region of human ABCG2. AA range:461-510
Subcellular Location Cell membrane
Multi-pass membrane protein . Apical cell membrane
Multi-pass membrane protein . Enriched in membrane lipid rafts. .
Multi-pass membrane protein . Mitochondrion membrane
Iso type IgG
Tissue Source Rabbit
Reactivity Human
Mouse
Rat
Human Gen 9429
Observed Band 75kD
Other Name ABCG2
ABCP
ATP-binding cassette sub-family G member 2
BCRP
BCRP1
Breast cancer resistance protein
CD338
CDw338
MXR
Mitoxantrone resistance-associated protein
Placenta-specific ATP-binding cassette transporter
Background The membrane-associated protein encoded by this gene is included in the superfamily of ATP-binding cassette (ABC) transporters. ABC proteins transport various molecules across extra- and intra-cellular membranes. ABC genes are divided into seven distinct