Bcl-6 rabbit pAb
  • Bcl-6 rabbit pAb
ELK

Bcl-6 rabbit pAb

Ref: ELK-ES4041-50ul
50ul

Información del producto

Información adicional
Storage Conditions -20°C/1 year
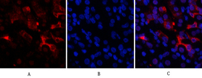
Applications ELISA
IF
IHC
WB
Concentration 1 mg/ml
Recomended Dilution IF: 1:50-200 Western Blot: 1/500 - 1/2000. IHC-p: 1/100-1/300. ELISA: 1/20000. Not yet tested in other applications.
Type Clonality Polyclonal
Immunogen The antiserum was produced against synthesized peptide derived from the Internal region of human BCL6. AA range:271-320
Subcellular Location Nucleus .
Iso type IgG
Tissue Source Rabbit
Reactivity Human
Mouse
Rat
Human Gen 604
Observed Band 78kD
Other Name B-cell lymphoma 5 protein
B-cell lymphoma 6 protein
BCL-5
BCL-6
BCL5
BCL6
LAZ3
Protein LAZ-3
ZBTB27
ZNF51
Zinc finger and BTB domain-containing protein 27
Zinc finger protein 51
Background The protein encoded by this gene is a zinc finger transcription factor and contains an N-terminal POZ domain. This protein acts as a sequence-specific repressor of transcription, and has been shown to modulate the transcription of STAT-dependent IL-4 resp