MIP-1β rabbit pAb
  • MIP-1β rabbit pAb
ELK

MIP-1β rabbit pAb

Ref: ELK-ES3937-50ul
50ul

Información del producto

Información adicional
Storage Conditions -20°C/1 year
Applications IHC
WB
Concentration 1 mg/ml
Recomended Dilution IHC-p 1:50-300
WB 1:500-2000
Type Clonality Polyclonal
Immunogen The antiserum was produced against synthesized peptide derived from the Internal region of human CCL4. AA range:41-90
Subcellular Location Secreted.
Iso type IgG
Tissue Source Rabbit
Reactivity Human
Mouse
Rat
Human Gen 388372
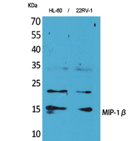
Observed Band 16kD
Other Name ACT-2
C-C motif chemokine 4
CCL4
G-26 T-lymphocyte-secreted protein
HC21
LAG-1
LAG1
Lymphocyte activation gene 1 protein
MIP-1-beta
MIP-1-beta(1-69)
MIP1B
Macrophage inflammatory protein 1-beta
PAT 744
Protein H400
SCYA4
SIS-gamma
Small-inducible cytokine A4
T-cell activation protein 2
Background The protein encoded by this gene is a mitogen-inducible monokine and is one of the major HIV-suppressive factors produced by CD8+ T-cells. The encoded protein is secreted and has chemokinetic and inflammatory functions. [provided by RefSeq, Dec 2012],