Cdc34 rabbit pAb
  • Cdc34 rabbit pAb
ELK

Cdc34 rabbit pAb

Ref: ELK-ES3919-50ul
50ul

Información del producto

Información adicional
Storage Conditions -20°C/1 year
Applications ELISA
IF
IHC
WB
Concentration 1 mg/ml
Recomended Dilution Western Blot: 1/500 - 1/2000. IHC-p: 1:100-300 ELISA: 1/20000. Not yet tested in other applications.
Type Clonality Polyclonal
Immunogen The antiserum was produced against synthesized peptide derived from the Internal region of human CDC34. AA range:121-170
Subcellular Location Cytoplasm. Nucleus. The phosphorylation of the C-terminal tail plays an important role in mediating nuclear localization. Colocalizes with beta-tubulin on mitotic spindles in anaphase.
Iso type IgG
Tissue Source Rabbit
Reactivity Human
Mouse
Rat
Human Gen 997
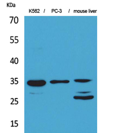
Observed Band 34kD
Other Name CDC34
UBCH3
UBE2R1
Ubiquitin-conjugating enzyme E2 R1
Ubiquitin-conjugating enzyme E2-32 kDa complementing
Ubiquitin-conjugating enzyme E2-CDC34
Ubiquitin-protein ligase R1
Background The protein encoded by this gene is a member of the ubiquitin-conjugating enzyme family. Ubiquitin-conjugating enzyme catalyzes the covalent attachment of ubiquitin to other proteins. This protein is a part of the large multiprotein complex, which is requ