SCP-3 rabbit pAb
  • SCP-3 rabbit pAb
ELK

SCP-3 rabbit pAb

Ref: ELK-ES3847-50ul
50ul

Información del producto

Información adicional
Storage Conditions -20°C/1 year
Applications ELISA
IHC
WB
Concentration 1 mg/ml
Recomended Dilution ELISA 2000-20000
IHC-p 1:50-300
WB 1:500-2000
Type Clonality Polyclonal
Immunogen Synthesized peptide derived from the Internal region of human SCP-3.
Subcellular Location Nucleus . Chromosome . Chromosome, centromere . It is present in early unpaired cores, in the lateral domains of the synaptonemal complex and in the chromosome cores when they separate at diplotene. It is found axial to the metaphase I chromosomes and in
Iso type IgG
Tissue Source Rabbit
Reactivity Human
Mouse
Human Gen 50511
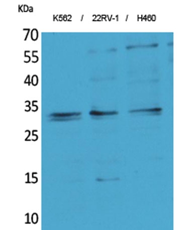
Observed Band 27kD
Other Name SCP-3
SCP3
SYCP3
Synaptonemal complex protein 3
Background This gene encodes an essential structural component of the synaptonemal complex. This complex is involved in synapsis, recombination and segregation of meiotic chromosomes. Mutations in this gene are associated with azoospermia in males and susceptibility