SCP-2 rabbit pAb
  • SCP-2 rabbit pAb
ELK

SCP-2 rabbit pAb

Ref: ELK-ES3846-50ul
50ul

Información del producto

Información adicional
Storage Conditions -20°C/1 year
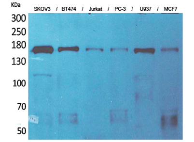
Applications ELISA
IHC
WB
Concentration 1 mg/ml
Recomended Dilution ELISA 2000-20000
IHC-p 1:50-300
WB 1:500-2000
Type Clonality Polyclonal
Immunogen Synthesized peptide derived from the Internal region of human SCP-2.
Subcellular Location Nucleus . Chromosome . In axial/lateral elements of the tripartite segments of synaptonemal complexes. .
Iso type IgG
Tissue Source Rabbit
Reactivity Human
Mouse
Rat
Human Gen 10388
Observed Band 175kD
Other Name SCP-2
SCP2
SYCP2
Synaptonemal complex lateral element protein
Synaptonemal complex protein 2
hsSCP2
Background The synaptonemal complex is a proteinaceous structure that links homologous chromosomes during the prophase of meiosis. The protein encoded by this gene is a major component of the synaptonemal complex and may bind DNA at scaffold attachment regions. The