PKM2 rabbit pAb
  • PKM2 rabbit pAb
ELK

PKM2 rabbit pAb

Ref: ELK-ES3229-50ul
50ul

Información del producto

Información adicional
Storage Conditions -20°C/1 year
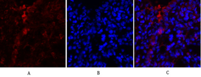
Applications ELISA
IF
IHC
WB
Concentration 1 mg/ml
Recomended Dilution IF: 1:50-200 WB 1:500-2000, ELISA 1:10000-20000 IHC 1:50-300
Type Clonality Polyclonal
Immunogen The antiserum was produced against synthesized peptide derived from human PKM2. AA range:181-230
Subcellular Location [Isoform M1]: Cytoplasm .
[Isoform M2]: Cytoplasm . Nucleus . Translocates to the nucleus in response to various signals, such as EGF receptor activation or apoptotic stimuli (PubMed:17308100, PubMed:22056988, PubMed:24120661). Nuclear translocation is promoted by acetylation by E
Iso type IgG
Tissue Source Rabbit
Reactivity Human
Mouse
Rat
Human Gen 5315
Observed Band 58kD
Other Name CTHBP
Cytosolic thyroid hormone-binding protein
OIP-3
OIP3
Opa-interacting protein 3
PK2
PK3
PKM
PKM2
Pyruvate kinase 2/3
Pyruvate kinase isozymes M1/M2
Pyruvate kinase muscle isozyme
THBP1
Thyroid hormone-binding protein 1
Tu
Background This gene encodes a protein involved in glycolysis. The encoded protein is a pyruvate kinase that catalyzes the transfer of a phosphoryl group from phosphoenolpyruvate to ADP, generating ATP and pyruvate. This protein has been shown to interact with thyro