PI 3-kinase p85α/γ rabbit pAb
  • PI 3-kinase p85α/γ rabbit pAb
ELK

PI 3-kinase p85α/γ rabbit pAb

Ref: ELK-ES3200-50ul
50ul

Información del producto

Información adicional
Storage Conditions -20°C/1 year
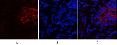
Applications ELISA
IF
IHC
WB
Concentration 1 mg/ml
Recomended Dilution Western Blot: 1/500 - 1/2000. Immunohistochemistry: 1/100 - 1/300. Immunofluorescence: 1/200 - 1/1000. ELISA: 1/20000. Not yet tested in other applications.
Type Clonality Polyclonal
Immunogen The antiserum was produced against synthesized peptide derived from human PI3-kinase p85-alpha/gamma. AA range:436-485
Subcellular Location nucleus,cytoplasm,cis-Golgi network,cytosol,plasma membrane,cell-cell junction,phosphatidylinositol 3-kinase complex,phosphatidylinositol 3-kinase complex, class IA,membrane,perinuclear endoplasmic reticulum membrane,
Iso type IgG
Tissue Source Rabbit
Reactivity Chicken(testedbyourcustomer)
Human
Monkey
Mouse
Rat
Human Gen 5295/8503
Observed Band 54+83kD
Other Name GRB1
PI3-kinase regulatory subunit alpha
PI3K regulatory subunit alpha
PIK3R1
Phosphatidylinositol 3-kinase 85 kDa regulatory subunit alph
Phosphatidylinositol 3-kinase regulatory subunit alpha
PtdIns-3-kinase regulatory subunit alpha
Background Phosphatidylinositol 3-kinase phosphorylates the inositol ring of phosphatidylinositol at the 3-prime position. The enzyme comprises a 110 kD catalytic subunit and a regulatory subunit of either 85, 55, or 50 kD. This gene encodes the 85 kD regulatory sub