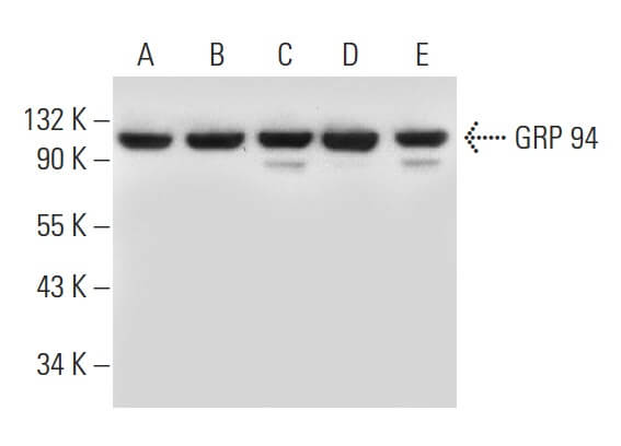
GRP 94 (H-10): m-IgG2b BP-HRP Bundle

Ref: STC-SC-549146

Información del producto

Información adicional
Size 1 kit
Storage Conditions Store at 4 °C
Shipping Conditions Ambient
Species Reactivity Cross mouse, rat, human
Applications WB, IP, IF, IHC(P), ELISA
Host mouse
Human Gen 7184
Harmonized Code 3002150000
Lab Info mouse monoclonal IgG2b
Mouse Gene ID 22027
Monoclonal Replacement Replacement monoclonal antibody for: sc-1794, sc-11402.
Kappa or Lambda kappa