Size
1 kit
Storage Conditions
Store at 4 °C
Shipping Conditions
Ambient
Species Reactivity Cross
human
Applications
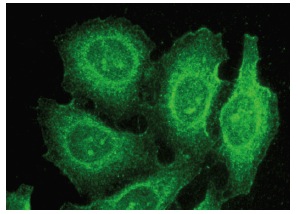
WB, IP, IF, ELISA
Host
mouse
Human Gen
55686
Harmonized Code
3002150000
Lab Info
mouse monoclonal IgG2b
Monoclonal Replacement
Replacement monoclonal antibody for: sc-168638, sc-135308.
Kappa or Lambda
kappa