TCP-1 β (D-8): m-IgG2a BP-HRP Bundle

Ref: STC-SC-547359

Información del producto

Información adicional
Size 1 kit
Storage Conditions Store at 4 °C
Shipping Conditions Ambient
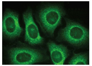
Species Reactivity Cross mouse, rat, human
Applications WB, IP, IF, IHC(P), ELISA
Host mouse
Human Gen 10576
Harmonized Code 3002150000
Lab Info mouse monoclonal IgG2a
Mouse Gene ID 12461
Monoclonal Replacement Replacement monoclonal antibody for: sc-13874, sc-28556.
Kappa or Lambda kappa