INSL3 rabbit pAb
  • INSL3 rabbit pAb
ELK

INSL3 rabbit pAb

Ref: ELK-ES8654-100μL
100μL

Información del producto

Información adicional
Storage Conditions -20°C/1 year
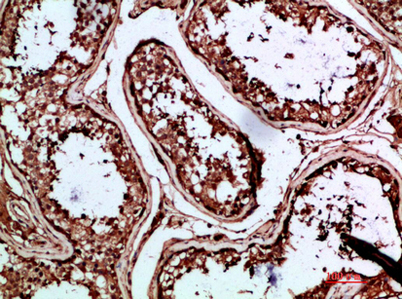
Applications ELISA
IF
IHC
Concentration 1 mg/ml
Recomended Dilution IHC-p 1:50-200, ELISA 1:10000-20000
Type Clonality Polyclonal
Immunogen Synthetic peptide from human protein at AA range: 10-50
Subcellular Location Secreted.
Iso type IgG
Tissue Source Rabbit
Reactivity Human
Mouse
Rat
Human Gen 3640
Other Name Insulin-like 3 (Leydig insulin-like peptide
Insulin-like 3 A chain]
Ley-I-L
Relaxin-like factor) [Cleaved into: Insulin-like 3 B chain
Background This gene encodes a member of the insulin-like hormone superfamily. The encoded protein is mainly produced in gonadal tissues. Studies of the mouse counterpart suggest that this gene may be involved in the development of urogenital tract and female fertil