PI 3 Kinase Class 3 rabbit pAb
  • PI 3 Kinase Class 3 rabbit pAb
ELK

PI 3 Kinase Class 3 rabbit pAb

Ref: ELK-ES8477-100μL
100μL

Información del producto

Información adicional
Storage Conditions -20°C/1 year
Applications IHC
WB
Concentration 1 mg/ml
Recomended Dilution IHC-p 1:50-300
WB 1:500-2000
Type Clonality Polyclonal
Immunogen Synthetic Peptide of PI 3 Kinase Class 3
Subcellular Location Midbody . Late endosome . Cytoplasmic vesicle, autophagosome . As component of the PI3K complex I localized to pre-autophagosome structures. As component of the PI3K complex II localized predominantly to endosomes (PubMed:14617358). Localizes also to disc
Iso type IgG
Tissue Source Rabbit
Reactivity Human
Mouse
Predicted:Cow:PIG
Rat
Human Gen 5289
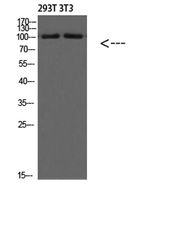
Observed Band 100kD
Other Name phosphoinositide-3-kinase, class 3
Background catalytic activity:ATP + 1-phosphatidyl-1D-myo-inositol = ADP + 1-phosphatidyl-1D-myo-inositol 3-phosphate.,cofactor:Manganese.,function:Catalytic subunit of the PI3K complex. Involved in the transport of lysosomal enzyme precursors to lysosomes.,similari