Caspase-4 rabbit pAb
  • Caspase-4 rabbit pAb
ELK

Caspase-4 rabbit pAb

Ref: ELK-ES7703-100μL
100μL

Información del producto

Información adicional
Storage Conditions -20°C/1 year
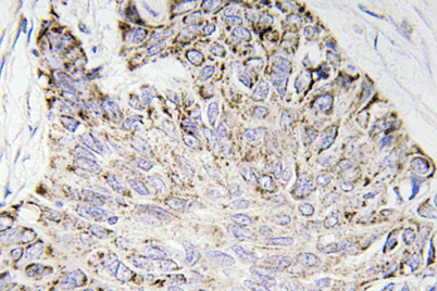
Applications ELISA
IF
IHC
WB
Concentration 1 mg/ml
Recomended Dilution Western Blot: 1/500 - 1/2000. Immunohistochemistry: 1/100 - 1/300. ELISA: 1/40000. Not yet tested in other applications.
Type Clonality Polyclonal
Immunogen The antiserum was produced against synthesized peptide derived from human Caspase-4. AA range:75-124
Subcellular Location Cytoplasm, cytosol . Endoplasmic reticulum membrane
Cytoplasmic side . Mitochondrion . Inflammasome . Secreted . Predominantly localizes to the endoplasmic reticulum (ER). Association with the ER membrane requires TMEM214 (PubMed:15123740). Released in the extracellular milieu by keratinocytes following UV
Peripheral membrane protein
Iso type IgG
Tissue Source Rabbit
Reactivity Human
Human Gen 837
Observed Band 45kD
Other Name CASP-4
CASP4
Caspase-4
ICE(rel)-II
ICH2
Protease ICH-2
Protease TX
Background This gene encodes a protein that is a member of the cysteine-aspartic acid protease (caspase) family. Sequential activation of caspases plays a central role in the execution-phase of cell apoptosis. Caspases exist as inactive proenzymes composed of a prod