mTERF rabbit pAb
  • mTERF rabbit pAb
ELK

mTERF rabbit pAb

Ref: ELK-ES7594-100μL
100μL

Información del producto

Información adicional
Storage Conditions -20°C/1 year
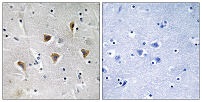
Applications ELISA
IF
IHC
WB
Concentration 1 mg/ml
Recomended Dilution Western Blot: 1/500 - 1/2000. Immunohistochemistry: 1/100 - 1/300. ELISA: 1/10000. Not yet tested in other applications.
Type Clonality Polyclonal
Immunogen The antiserum was produced against synthesized peptide derived from human MTERF. AA range:267-316
Subcellular Location Mitochondrion.
Iso type IgG
Tissue Source Rabbit
Reactivity Human
Mouse
Rat
Human Gen 7978
Observed Band 46kD
Other Name MTERF
Mitochondrial transcription termination factor 1
Transcription termination factor
mTERF
mitochondrial
Background This gene encodes a mitochondrial transcription termination factor. This protein participates in attenuating transcription from the mitochondrial genome
this attenuation allows higher levels of expression of 16S ribosomal RNA relative to the tRNA gene downstream. The product of this gene has three leucine zipper motifs bracketed by two basic domains that are all required for DNA binding. There is evidence