ZnT-4 rabbit pAb
  • ZnT-4 rabbit pAb
ELK

ZnT-4 rabbit pAb

Ref: ELK-ES7552-100μL
100μL

Información del producto

Información adicional
Storage Conditions -20°C/1 year
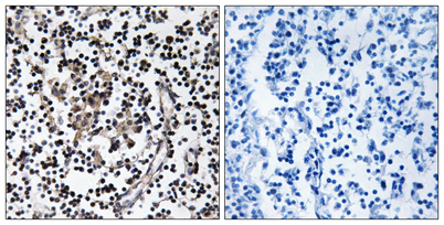
Applications ELISA
IF
IHC
WB
Concentration 1 mg/ml
Recomended Dilution Western Blot: 1/500 - 1/2000. Immunohistochemistry: 1/100 - 1/300. ELISA: 1/5000. Not yet tested in other applications.
Type Clonality Polyclonal
Immunogen The antiserum was produced against synthesized peptide derived from human SLC30A4. AA range:71-120
Subcellular Location Endosome membrane
Multi-pass membrane protein .
Multi-pass membrane protein . Late endosome membrane
Multi-pass membrane protein . Lysosome membrane
Iso type IgG
Tissue Source Rabbit
Reactivity Human
Mouse
Rat
Human Gen 7782
Observed Band 47kD
Other Name SLC30A4
Solute carrier family 30 member 4
ZNT4
Zinc transporter 4
ZnT-4
Background Zinc is the second most abundant trace metal in the human body. It is an essential element, serving both a structural role, as in the formation of zinc fingers in DNA-binding proteins, and a catalytic role in metalloenzymes, such as pancreatic carboxypept