β-1,4-GalNAc-T rabbit pAb
  • β-1,4-GalNAc-T rabbit pAb
ELK

β-1,4-GalNAc-T rabbit pAb

Ref: ELK-ES6769-100μL
100μL

Información del producto

Información adicional
Storage Conditions -20°C/1 year
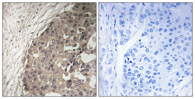
Applications ELISA
IF
IHC
WB
Concentration 1 mg/ml
Recomended Dilution Western Blot: 1/500 - 1/2000. Immunohistochemistry: 1/100 - 1/300. ELISA: 1/40000. Not yet tested in other applications.
Type Clonality Polyclonal
Immunogen The antiserum was produced against synthesized peptide derived from human CSGALNACT1. AA range:201-250
Subcellular Location Golgi apparatus, Golgi stack membrane
Single-pass type II membrane protein .
Iso type IgG
Tissue Source Rabbit
Reactivity Human
Mouse
Rat
Human Gen 55790
Observed Band 60kD
Other Name 4-N-acetylgalactosaminyltransferase 1
Beta4GalNAcT-1
CHGN
CSGALNACT1
Chondroitin beta-1
Chondroitin sulfate N-acetylgalactosaminyltransferase 1
CsGalNAcT-1
GALNACT1
Background catalytic activity:UDP-N-acetyl-D-galactosamine + beta-D-glucuronyl-(1->3)-D-galactosyl-proteoglycan = UDP + N-acetyl-D-galactosaminyl-(1->4)-beta-D-glucuronyl-(1->3)-beta-D-galactosylproteoglycan.,function:Transfers 1,4-N-acetylgalactosamine (GalNAc) fro