PMS2/PMS2CL rabbit pAb
  • PMS2/PMS2CL rabbit pAb
ELK

PMS2/PMS2CL rabbit pAb

Ref: ELK-ES6634-50ul
50ul

Información del producto

Información adicional
Storage Conditions -20°C/1 year
Applications ELISA
IF
IHC
Concentration 1 mg/ml
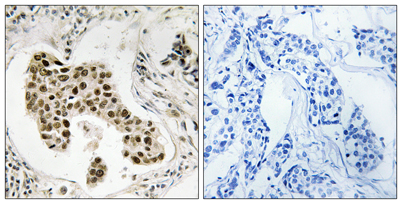
Recomended Dilution Immunohistochemistry: 1/100 - 1/300. ELISA: 1/5000. Not yet tested in other applications.
Type Clonality Polyclonal
Immunogen The antiserum was produced against synthesized peptide derived from human PMS2CL. AA range:125-174
Subcellular Location mismatch repair complex,
Iso type IgG
Tissue Source Rabbit
Reactivity Human
Mouse
Rat
Human Gen 5395
Other Name DNA mismatch repair protein PMS2
Mismatch repair endonuclease PMS2
PMS1 protein homolog 2
PMS2
PMS2-C terminal-like protein
PMS2CL
PMSL2
Protein PMS2CL
Background caution:According to PubMed:15077197, it is a pseudogene. However, a peptide specific to this protein was identified by mass spectrometry (PubMed:17525332). Given that the product described by PubMed:15077197 is located downstream and on another frame of