NDUFS7 rabbit pAb
  • NDUFS7 rabbit pAb
ELK

NDUFS7 rabbit pAb

Ref: ELK-ES5989-50ul
50ul

Información del producto

Información adicional
Storage Conditions -20°C/1 year
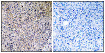
Applications ELISA
IF
IHC
Concentration 1 mg/ml
Recomended Dilution Immunohistochemistry: 1/100 - 1/300. ELISA: 1/40000. Not yet tested in other applications.
Type Clonality Polyclonal
Immunogen The antiserum was produced against synthesized peptide derived from human NDUFS7. AA range:164-213
Subcellular Location Matrix side .
Mitochondrion inner membrane
Peripheral membrane protein
Iso type IgG
Tissue Source Rabbit
Reactivity Human
Mouse
Rat
Human Gen 374291
Other Name CI-20kD
Complex I-20kD
NADH-ubiquinone oxidoreductase 20 kDa subunit
NADH dehydrogenase [ubiquinone] iron-sulfur protein 7
NDUFS7
PSST subunit
mitochondrial
Background This gene encodes a protein that is a subunit of one of the complexes that forms the mitochondrial respiratory chain. This protein is one of over 40 subunits found in complex I, the nicotinamide adenine dinucleotide (NADH):ubiquinone oxidoreductase. This