Storage Conditions
-20°C/1 year
Applications
ELISA
IF
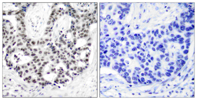
IHC
Concentration
1 mg/ml
Recomended Dilution
Immunohistochemistry: 1/100 - 1/300. ELISA: 1/20000. Not yet tested in other applications.
Type Clonality
Polyclonal
Immunogen
The antiserum was produced against synthesized peptide derived from human Androgen Receptor around the phosphorylation site of Ser650. AA range:621-670
Subcellular Location
Nucleus . Cytoplasm . Detected at the promoter of target genes (PubMed:25091737). Predominantly cytoplasmic in unligated form but translocates to the nucleus upon ligand-binding. Can also translocate to the nucleus in unligated form in the presence of RAC
Iso type
IgG
Tissue Source
Rabbit
Reactivity
Human
Mouse
Rat
Human Gen
367
Other Name
AR
Androgen receptor
DHTR
Dihydrotestosterone receptor
NR3C4
Nuclear receptor subfamily 3 group C member 4
Background
The androgen receptor gene is more than 90 kb long and codes for a protein that has 3 major functional domains: the N-terminal domain, DNA-binding domain, and androgen-binding domain. The protein functions as a steroid-hormone activated transcription fact