Size
1 kit
Storage Conditions
Store at 4 °C
Shipping Conditions
Ambient
Species Reactivity Cross
human
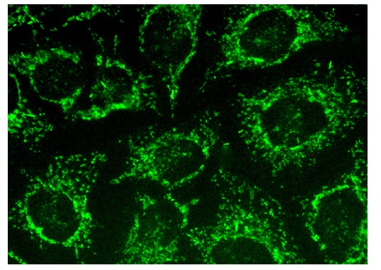
Applications
WB, IP, IF, ELISA
Host
mouse
Human Gen
53339
Harmonized Code
3002150000
Lab Info
mouse monoclonal IgG1
Monoclonal Replacement
Replacement monoclonal antibody for: sc-134641.
Kappa or Lambda
kappa